Work

MELANOMA RESEARCH PROJECT

IF YOU THINK BIOMEDICAL RESEARCH & EDUCATION ARE EXPENSIVE, TRY IGNORANCE AND DISEASE.

Malignant Melanoma

Work

Finally, some good news...

Malignant melanoma is effectively preventable, successfully curable in early stages, and even treatable in advanced stages. Its cumulative 5-yr survival in the U.S. approximates 90%, which sounds pretty good at first sight. Nonetheless, melanoma is one of the most dangerous cancers in humans known to date, and it may affect individuals at all ages likewise, even children. So, melanoma matters to everyone. On this website, you'll be given a whole bunch of information needed to understand the currently available causation models in melanoma research, its biological features and symptoms, its methods of diagnosis, and its available treatment approaches. In addition, the most recent research data on malignant melanoma are given in detail, in order to address urgent questions as to the modalities that may beneficially impact on the course of disease in far advanced or even metastatic stages.

What is a 'melanoma'?

About

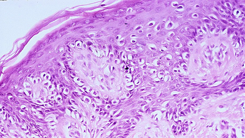
WHAT IS A 'MELANOMA'?

'Melanoma' is a malignant tumor derived from melanocytes (hence its denomination), neuro-ectodermal cells found in the basal layers of the skin (> 90%), mucous membranes, and the eye. Mediated through erroneus epigenetic DNA code read-outs, melanocytes transform into neoplastic melanoma cells. They proliferate and spread through soft-tissues, lymph nodes, and the blood stream, thereby turning a local tumor into a systemic disease. Untreated, melanoma is a fatal disease. Melanoma cells can be detected in histology specimens, indicated by egg-shaped clear cells displaying excentrical disconfigured cell nuclei. Intially, melanoma cells form single-cell units, followed by cluster formation. Melanin granules may be seen or even spread, but may more or less be absent in individual cases.

Contact

Contact

The Melanoma Research Project is an independant Research & Development Project, based in Germany and the United States of America.

Melanoma Research Project
Airport Center Hs. C
52A Flughafenstrasse
Hamburg D-22335, Germany
Phone +49 40 53299-202
Fax +49 4191 807-1288
Voice & Email +49 700-635-26662

melanomaweb.net, L.L.C.
World Trade Center Tampa Bay
1101 Channelside Drive, Suite 244
Tampa, FL 33602-3613, USA
Phone +1 813-579-4962
Fax +1 813-864-4199
Voice & Email +49 700-635-26662